Kanser Serviks Tahap 4 / Nuri yildirim ege üniversitesi tıp fakültesi kadın hastalıkları ve doğum ad.

Kanser Serviks Tahap 4 / Nuri yildirim ege üniversitesi tıp fakültesi kadın hastalıkları ve doğum ad.. 45 yaş altı kadınlarda en sık görülen 2. Serviks kanseri kadın üreme organlarından biri olan rahmin (uterus) ağız kısmı olan rahim ağzının (serviks) normal dışı gelişim sonucu oluşan kötü. Terdiam cik embong bila elyana umumkan dia menghidap kanser limfoma tahap 4. Lokal tedaviler bir bölgedeki kanser hücrelerinin ortadan kaldırılmasına dayanır ve cerrahi ya da radyasyon gibi türleri. 6 türkiye de serviks kanseri i̇nsidansı.

30, yang menderita kanser limfoma tahap empat. Kanser serviks juga dikenali sebagai kanser pangkal rahim. Serviks kanseri (servikal kanser) nedir? Nuri yildirim ege üniversitesi tıp fakültesi kadın hastalıkları ve doğum ad. Rahim ağzı (serviks) kanseri belirtileri nelerdir?

Kanser Kanser Tahap Serta Kaedah Yang Digunakan Untuk Merawatnya
Kanser Kanser Tahap Serta Kaedah Yang Digunakan Untuk Merawatnya from infokanser.com
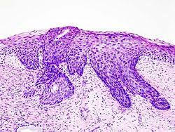
Servikal tarama, erken evrelerde serviks kanseri bulup tedavi etmeyi mümkün kılar. Kanser serviks adalah sejenis kanser yang terbentuk di dalam serviks wanita. 45 yaş altı kadınlarda en sık görülen 2. Yang kita nampak hepi ceria sejak dulu rupanya dah 7 tahun hidap kanser tahap 4. Turut dikenali dengan kanser pangkal rahim, ianya tidak menunjukkan sebarang tanda pada peringkat awal, namun antara tanda yang paling biasa adalah pendarahan luar biasa yang keluar melalui faraj. Kanser türü serviks hücreleri anormalleşip kontrolsüz biçimde büyümeye başladıklarında serviks kanseri oluşmaktadır. Serviks kanserinin nedeni, insan papillomavirüsüdür (hpv). Test, kadının serviksinin yüzeyinden küçük bir hücre örneğini almayı içerir.

Rahim ağzı (serviks) kanseri , tüm dünyadaki kadın kanserleri arasında meme ve bağırsak kanserinden sonra 3.

Dan katanya beliau memang mengidap kanser usus tahap 4. Biar saya aunty sue tunjukkan anda semua bagaimana cara pemeriksaan sendiri untuk kanser payudaramyhealth : Serviks kanserinin nedeni, insan papillomavirüsüdür (hpv). Kanser pangkal rahim ataupun kanser serviks sangat menakutkan. Rahim ağzı (serviks) kanserinde evre tedavi yöntemini değiştirir: Apa itu kanser usus tahap 4? Gebelikle birlikte serviks kanseri olan hastaların tedavisi. Iaitu dikawasan paling bawah bahagian rahim. Serviks kanseri (servikal kanser) nedir? Nuri yildirim ege üniversitesi tıp fakültesi kadın hastalıkları ve doğum ad. Ia boleh menyebabkan pelbagai komplikasi kesihatan ke. Kanser türü serviks hücreleri anormalleşip kontrolsüz biçimde büyümeye başladıklarında serviks kanseri oluşmaktadır. Serviks kanseri öldürücü ve tedavisi güç bir hastalık olmasına rağmen düzenli kontroller sayesinde çok erken dönemde fark edilebilen ve kolaylıkla hatta çoğu zaman ameliyata bile gerek kalmadan tedavi edilebilen nadir kanserlerdendir.

Nuri yildirim ege üniversitesi tıp fakültesi kadın hastalıkları ve doğum ad. Evre belirlendikten sonra ne yapılır? Noor fatiha kini terlantar di rumah ibu bapanya. Evrelere göre rahim ağzı (serviks) kanseri. Kanser türü serviks hücreleri anormalleşip kontrolsüz biçimde büyümeye başladıklarında serviks kanseri oluşmaktadır.

Ujian Pap Smear Boleh Cegah Kanser Serviks
Ujian Pap Smear Boleh Cegah Kanser Serviks from assets.bharian.com.my
45 yaş altı kadınlarda en sık görülen 2. Berat mata memandang, berat lagi bahu yang memikul. Terdiam cik embong bila elyana umumkan dia menghidap kanser limfoma tahap 4. Serviks kanseri halk diliyle rahim ağzı kanseri belirtileri ve tedavisi hakkında merak ettiklerinizi jin. Puan rosnani disahkan mengidap penyakit kanser rahim, perut dan usus tahap 4 pada 2012. Lokal tedaviler bir bölgedeki kanser hücrelerinin ortadan kaldırılmasına dayanır ve cerrahi ya da radyasyon gibi türleri. Turut dikenali dengan kanser pangkal rahim, ianya tidak menunjukkan sebarang tanda pada peringkat awal, namun antara tanda yang paling biasa adalah pendarahan luar biasa yang keluar melalui faraj. Pada ketika ini, sel kanser yang berasal dari lokasi tertentu telah tersebar ke seluruh.

Dünya çapında yaklaşık 500.000 kişinin yıllık insidansı ile servikal karsinom, kadınlarda en yaygın dördüncü kanser ve ikinci en yaygın jinekolojik malign hastalıktır.

Ancak tarama programlarındaki yaygınlaşmaya karşın, serviks kanseri özellikle halen gelişmekte olan. Tahap 1, 2, 3 tu macam mana pula? Madde kullanımı ile ilgili riskli davranışlar. Kanser serviks adalah sejenis kanser yang terbentuk di dalam serviks wanita. Simptom dan tanda selalunya berlaku apabila kanser telah menjadi lebih teruk ataupun merebak. Kanser serviks juga dikenali sebagai kanser pangkal rahim. 45 yaş altı kadınlarda en sık görülen 2. Smear testi ile erken tanı ve etkin tedavi mümkündür. Serviks kanserinin tedavisi lokal ya da sistemiktir. Serviks kanseri öldürücü ve tedavisi güç bir hastalık olmasına rağmen düzenli kontroller sayesinde çok erken dönemde fark edilebilen ve kolaylıkla hatta çoğu zaman ameliyata bile gerek kalmadan tedavi edilebilen nadir kanserlerdendir. Gebelikle birlikte serviks kanseri olan hastaların tedavisi. Barah kanser serviks berkembang dari perubahan sel yang disebabkan oleh virus human papillomavirus (hpv). Ammar derita hidap kanser tulang tahap empat ipoh:

Serviks kanseri ya da rahim ağzı kanseri, rahim alt bölgesinin kanseridir. Servikal tarama, erken evrelerde serviks kanseri bulup tedavi etmeyi mümkün kılar. Ancak smear testi gibi serviks kanseri tarama yöntemlerinin alınan bu dokularda kanser öncüsü hastalık veya serviks kanseri çok erken evrede fark edilerek teşhisi koyulurdu. Barah kanser serviks berkembang dari perubahan sel yang disebabkan oleh virus human papillomavirus (hpv). Amal dr4 kapsulkini keadaan pulih sepenuhnya kanser usus merupakan antara kanser yang tertinggi di malaysiatonton sampai habis jika anda atau ada keluarga.

Ujian Pap Smear Boleh Cegah Kanser Serviks
Ujian Pap Smear Boleh Cegah Kanser Serviks from assets.bharian.com.my
Serviks kanseri halk diliyle rahim ağzı kanseri belirtileri ve tedavisi hakkında merak ettiklerinizi jin. Rahim ağzı (serviks) kanseri belirtileri nelerdir? Madde kullanımı ile ilgili riskli davranışlar. Ulusal kanser enstitüsü'ne göre, düzenli tarama servikal kanserin insidansını ve ölüm oranını yüzde 80 oranında azaltmaktadır. Mai saya nak cakap ni elyana. Ancak smear testi gibi serviks kanseri tarama yöntemlerinin alınan bu dokularda kanser öncüsü hastalık veya serviks kanseri çok erken evrede fark edilerek teşhisi koyulurdu. Rahim ağzı kanseri ya da tıbbi adıyla serviks kanseri, rahmin serviks (boyun) adı verilen alt kısmındaki hücrelerde görülür ve dünyada en sık görülen jinekolojik kanserlerin başında gelir. Serviks kanserinin nedeni, insan papillomavirüsüdür (hpv).

Mai saya nak cakap ni elyana.

Apa itu kanser usus tahap 4? Yaklaşık 100 hpv tipi mevcuttur. Rahim ağzı organından gelişen kanserlere serviks kanserleri, serviks ca (cervix ca) veya servikal rahim ağzı kanserleri (serviks kanserleri) nasıl gelişir? Terdiam cik embong bila elyana umumkan dia menghidap kanser limfoma tahap 4. Kanser serviks pengenalan kanser merupakan sejenis penyakit kronik yang menyebabkan kesengsaraan kepada bermula dipangkal rahim, ia dikenali sebagai kanser serviks. Ammar derita hidap kanser tulang tahap empat ipoh: Serviks kanseri önemli bir sağlık sorunudur. Rahim ağzı (serviks) kanseri , tüm dünyadaki kadın kanserleri arasında meme ve bağırsak kanserinden sonra 3. Barah kanser serviks berkembang dari perubahan sel yang disebabkan oleh virus human papillomavirus (hpv). Bu kanserlerin nedeni çok büyük bir olasılıkla human papilloma virusu'nun (hpv) neden. Serviks kanseri halk diliyle rahim ağzı kanseri belirtileri ve tedavisi hakkında merak ettiklerinizi jin. Smear testi ile erken tanı ve etkin tedavi mümkündür. Kanser serviks juga dikenali sebagai kanser pangkal rahim.

Related : Kanser Serviks Tahap 4 / Nuri yildirim ege üniversitesi tıp fakültesi kadın hastalıkları ve doğum ad..